Odzyskaj uśmiech bez wstydu
ze stałymi zębami
CIESZ SIĘ ULUBIONYMI POTRAWAMI BEZ ODCZUWANIA BÓLU
NAWET GDY STRACIŁEŚ PRAKTYCZNIE WSZYSTKIE ZĘBY,
ALBO NOSISZ PROTEZĘ
Umów się na spotkanie z Doradcą Terapii dr Bartosza Cerkaskiego
-
Spotkanie na żywo w klinice ze skanowaniem 3D zębów
-
Spotkanie on-line (BEZ OPŁAT)

PRZEŁOMOWA METODA LECZENIA I ODBUDOWY STAŁYCH ZĘBÓW NA IMPLANTACH
PROTOKÓŁ TIME FOR IMPLANTS™
– NIE MA RZECZY NIEMOŻLIWYCH
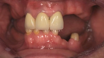
Zaczynasz dostrzegać, jak braki zębowe zmieniły Twój uśmiech i ograniczają Twoje codzienne działania?
Może straciłeś dopiero pojedyncze zęby lub wiele z nich – a te, które zostały, nie spełniają swoich funkcji tak, jak kiedyś?
Codzienne czynności, jak jedzenie czy mówienie, stały się wyzwaniem, a pewność siebie i swoboda z każdym ubytkiem cierpi coraz bardziej?
Czujesz, że nadszedł moment, by coś z tym zrobić?
CZAS NA IMPLANTY… – Czas spotkać prawdziwych ekspertów w dziedzinie implantologii dentystycznej i kompleksowych rekonstrukcji jamy ustnej.
Ekspertów, którzy od lat zajmują się badaniami i rozwojem, opracowując nowe technologie w swoich laboratoriach i wprowadzając innowacyjne techniki, korzystając także z możliwości oferowanych przez sztuczną inteligencję.
Nie ma znaczenia jak skomplikowana jest Twoja sytuacja…
Nawet jeśli cierpisz na zaawansowane choroby zębów i dziąseł jak paradontoza.
Nawet jeśli masz starą zużytą protezę
Nawet jeśli masz za sobą poprzednie (może nieudane) leczenie, powodujące dziś już jedynie kolejne problemy.
Nawet jeśli powiedziano ci, że nie masz wystarczającej ilości kości, aby wstawić stałe implanty…
NAJBARDZIEJ ZAAWANSOWANY PROTOKÓŁ IMPLANTOLOGICZNY NA ŚWIECIE
Rekonstrukcja bioniczna jamy ustnej
na implantach
Trwałość, na której możesz polegać, i wygoda, która staje się niezauważalną częścią Twojego życia – to prawdziwa wartość Time For Implants™

Rekonstrukcja bioniczna zębów z pozoru przypomina typowy most lub protezę, choć ma całkowicie inną konstrukcję i schemat działania, który polega na tym, że pacjent używa jej aktywnie naśladując funkcje naturalnych zębów, stymulując kość i tkanki dziąseł oraz dynamicznie dostosowując się do ruchów żuchwy i sił żucia w czasie rzeczywistym.
Czyli nie tylko zastępuje brakujące zęby za pomocą implantów, ale także współpracuje z mięśniami, kością i stawami, co pozwala pacjentom na bardziej komfortowe życie, lepsze dopasowanie i ochronę przed zanikiem kości na lata.
Czytaj dalej, żeby dowiedzieć się więcej o standardzie rekonstrukcji bionicznych….
- →CZYM JEST PROTOKÓŁ TIME FOR IMPLANTS™
- →DLA KOGO JEST METODA TIME FOR IMPLANTS™
- →Z CZEGO WYNIKA UNIKALNY STANDARD TIME FOR IMPLANTS™
- →JAK PRZEBIEGA PROCES TIME FOR IMPLANTS™
- →JAKIE SĄ ALTERNATYWY DLA TIME FOR IMPLANTS™

Zmień swój uśmiech szybciej,
niż Ci się wydaje!
Jeśli zmagasz się z brakami w uzębieniu lub nosisz tradycyjną protezę ruchomą, istnieje lepsze rozwiązanie – mosty bioniczne wsparte na implantach z wykorzystaniem metody Time For Implants™ (TFI), którą opracowaliśmy w naszej klinice na podstawie ponad 20-tu lat doświadczenia.
Możesz zyskać nie tylko piękny, naturalny uśmiech, ale także zaoszczędzić czas. Leczenie przebiega dużo sprawniej, niż mogłoby się wydawać, bez utraty jakości – wręcz przeciwnie, technologia pozwala na jej znaczną poprawę.
A ponieważ w naszej klinice oferujemy tę metodę w połączeniu z Digital Smile Design i Slow Dentistry, zyskujesz trzy kluczowe korzyści:
1. SZCZEGÓŁOWE PLANOWANIE LECZENIA
Poświęcamy na to niezwykle dużo czasu – cyfrowo analizujemy i planujemy Twoje leczenie implantologiczne, a każdy etap jest sprawdzany przez międzynarodowy zespół specjalistów przed rozpoczęciem procedur. To unikalny sposób działania. Dzięki takiemu podejściu i zaawansowanym technologiom redukujemy niepotrzebne wizyty i upraszczamy cały proces, co oznacza, że możesz cieszyć się swoim nowym uśmiechem w krótszym czasie. Pokażemy Ci również symulację cyfrową, abyś w pełni zrozumiał swoje możliwości leczenia.
2. PRECYZYJNE UMIESZCZENIE IMPLANTÓW
Wykorzystujemy drukowane w 3D szablony zabiegowe z prowadnicami, które pomagają nam dokładnie określić miejsce w jamie ustnej, w którym należy umieścić implanty. Dzięki temu zabieg jest mniej inwazyjny, co redukuje dyskomfort i szalenie przyspiesza gojenie. Szablony te są zgodne z wcześniej zatwierdzonym planem leczenia, co redukuje ryzyko błędów praktycznie do zera i pozwala osiągnąć przewidywalne efekty.
3. NATURALNY WYGLĄD UŚMIECHU I ZGODNE Z NATURĄ GRYZIENIE NA LATA
Dzięki nowoczesnym technologiom i starannie wyselekcjonowanym materiałom klasy premium tworzymy uzupełnienia, które wyglądem, kształtem, kolorem i fakturą przypominają naturalne zęby. Są one projektowane indywidualnie, aby idealnie pasowały do Twojego uśmiechu. Wytrzymałe konstrukcje oparte na cyfrowo projektowanych i frezowanych belkach jak np. SafeCore™ gwarantują nieporównywalną trwałość i odporność na obciążenia, zapewniając niezawodność na lata. Co więcej, zastosowanie protokołów TFI pozwala uniknąć wielokrotnych przymiarek i korekt, co znacznie skraca czas leczenia.
Wiele metod leczenia implantologicznego wymaga długich i skomplikowanych procedur, które mogą być wyczerpujące dla pacjenta. W metodzie Time For Implants™ łączymy nowoczesne technologie i zintegrowane cyfrowe protokoły, aby skrócić czas leczenia do minimum, zapewniając jednocześnie najwyższą jakość i przewidywalność. Sprawdź jakie są alternatywy dla Time For Implants™
Widzieliśmy dziesiątki razy, jak leczenie z wykorzystaniem mostów bionicznych na implantach z Time For Implants™ poprawia komfort życia i dodaje pewności siebie naszym pacjentom.
Ty również możesz doświadczyć tej zmiany – szybko, bezpiecznie i skutecznie!
Poniżej poznasz wiele szczegółów, i dowiesz się jak szybko i bezpiecznie możesz odzyskać pełnię uśmiechu oraz zaufania do siebie!

REWOLUCJA TECHNOLOGICZNA W IMPLANTOLOGII
Czym jest protokół Time For Implants™ i Bioniczna Rekonstrukcja Jamy Ustnej … i jak mogą działać nawet w najbardziej ekstremalnych przypadkach?
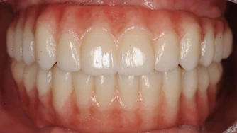
Time For Implants™ to innowacyjny protokół medyczny naszego Programu Rewitalizacji polegający na odbudowie pełnego uzębienia w oparciu o implanty u osób, które nie mają zębów lub muszą z różnych względów. To absolutnie unikalny, autorski protokół, którego nie znajdziesz nigdzie indziej w Polsce, a także jeden z najbardziej zaawansowanych w skali świata. Dzięki najnowocześniejszym technologiom oraz rekonstrukcjom bionicznym, zespół ekspertów EndoEstetica Clinic może przekazywać pacjentom nowe, trwałe i hiperrealistycznie wyglądające „trzecie” zęby – nie do odróżnienia od prawdziwych.
Time For Implants™ łączy wiele subtelnych, niewidocznych na pierwszy rzut oka elementów, co pozwala na znaczne przyspieszenie leczenia – cały proces może zostać przeprowadzony w zaledwie 3-4 wizytach, zamiast standardowych kilkunastu.
To coś, co pacjenci często określają jako „uśmiech w jeden dzień”, albo bardziej fachowo All-on-6 lub All-on-4, ale to znacznie więcej niż poprawa wyglądu zębów, czy wszczepienie kilku implantów – to przemyślane podejście do rekonstrukcji jamy ustnej, które jest zorientowane na sprawne odzyskanie pełnego komfortu, estetyki i harmonii na lata. Stąd nazwa: Time For Implants™ – czyli czas NA implanty… ale to też czas DLA implantów – nasz czas w klinice poświęcamy na cyfrowe planowanie, robotyczną produkcję akcesoriów i dobór technologii – dla pacjentów to pewność, że uśmiech powstanie szybko i będzie wyglądał autentycznie naturalnie jeszcze długo w czasie po leczeniu.
Rozwiązanie Time For Implants™ wyróżnia się szybkością, skutecznością i najniższym stopniem ryzyka, a jego trwałość zapewniają precyzyjnie dobrane materiały i inżynieria zaawansowanych technologii XXI wieku (w tym sztuczna inteligencja).
Wszystko to przekłada się na komfort pacjenta, który szybko odzyskuje funkcjonalność i estetykę uzębienia, ciesząc się naturalnym, pięknym uśmiechem.
Time For Implants™ i Rekonstrukcja Bioniczna
ROZWIĄZANIE PRZYWRACAJĄCE PEŁNIĘ ŻYCIA, SZYBCIEJ NIŻ MYŚLISZ.
Dzięki niemu:
✅ odzyskujesz wolność i swobodę jedzenia – bez dalszego cierpienia i ograniczeń, wracając do ulubionych potraw.
✅ Uśmiechasz się ponownie zębami bez skrępowania – naturalnie i pewnie, bez żadnego dyskomfortu lub zakłopotania w kontaktach z innymi.
Odzyskaj energię i swobodę, której brakowało Ci zbyt długo, i rozpoczynaj każdy dzień z zupełnie innym nastawieniem.
NOWA ERA W MEDYCYNIE
od utraty zębów do
precyzyjnie nawigowanej
rehabilitacji na implantach
Cały proces odbywa się pod kontrolą szablonów i matryc nawigacyjnych, zmniejszając ryzyko błędu ludzkiego. Jest przeprowadzany przez zespół dedykowanych specjalistów w jednej placówce – w certyfikowanej klinice w Luboniu.
Oznacza to dla Ciebie, że nie musisz martwić się o precyzję zabiegu, bezpieczeństwo i dopasowanie zębów.

„Nie spodziewałam się tak nowoczesnych technologii, czułam się bezpiecznie…
To ogromna zmiana, odradzam się”
Małgorzata, Wiry
Właścicielka Uśmiechu
Pacjentka Programu Rewitalizacji AD. 2024






Nowa jakość życia dla pragnących więcej
Time For Implants™
Pacjenci, którzy stracili wszystkie zęby:
Szukają sposobu na przywrócenie stałych zębów na implantach dentystycznych w sposób bezpieczny i trwały, korzystając ze sprawdzonego leczenia w Polsce.
Nie da się ukryć, że dzisiaj, bardziej niż kiedykolwiek, znalezienie zaufanego ośrodka jest kluczowe, aby uniknąć marnowania pieniędzy na leczenie, które na pierwszy rzut oka wydaje się skuteczne, ale w rzeczywistości problem pozostaje nierozwiązany.

Pacjenci, którzy obawiają się implantów:
Niektórzy uważają, że leczenie za pomocą implantów jest ryzykowne. Jeśli jednak dołączysz do grupy pacjentów EndoEstetica Clinic, odkryjesz, że można zaoszczędzić stres, lecząc się w przemyślany sposób – i co najważniejsze – można to zrobić bezpiecznie.
Dr Cerkaski z zespołem stworzyli niemal niezawodny system ochrony pacjentów leczonych implantami, aby zapewnić im najlepsze terapie w przypadkach ekstremalnej rekonstrukcji jamy ustnej.

Pacjenci, którzy chcą więcej, niż tylko tanie implanty:
Nie szukają najtańszej opcji, ale najlepszego rozwiązania na rynku – Bionicznej Rekonstrukcji Jamy Ustnej. Opartej na innowacyjnych protokołach inżynierskich, w pełni cyfrowo zaprojektowanych zębach i wszystkich korzyściach nowoczesnej technologii robotycznej.
Pacjenci, którzy podejmują decyzję o leczeniu w EndoEstetica Clinic, doskonale wiedzą, co ich czeka i dlaczego warto podjąć tę decyzję.
To szansa na zakończenie wieloletnich terapii bez rezultatów, które opróżniały portfel, nie dając realnej gwarancji sukcesu.

Pacjenci szukający bezpieczeństwa:
W DSD w Madrycie, SaoPaulo i Miami zaprojektowano najbardziej zaawansowaną linię dentystyczną na świecie.
Te zęby są projektowane komputerowo, a finalny projekt tworzą projektanci z DSD Planning Center, którzy przesyłają go do chmury, skąd trafia na produkcję.
Dzięki cyfrowemu protokołowi obróbki pacjenci zyskują:
- Gwarancję rezultatów.
- Sprawne i optymalnie inwazyjne zabiegi dzięki nawigacji.
- Możliwość regeneracji tych samych zębów wielokrotnie w przyszłości, za pomocą jednego kliknięcia.

7 Star Standard: Fundament Rekonstrukcji Bionicznych
7 głównych powodów, które łączą zaawansowaną technologię z biologicznymi procesami organizmu pacjenta.
Osoby, które wybierają leczenie w EndoEstetica Clinic, korzystają z protokołów przyszłości – nowoczesnych, precyzyjnych, i pozwalających na najwyższej jakości rezultaty w najtrudniejszych przypadkach. Każdy z tych elementów odpowiada za dynamiczną adaptację, funkcjonalność i długoterminową stabilność odbudowy uzębienia.
1. Implanty i biomateriały stymulujące kość i regenerujące tkanki miękkie
Rozwiązania, które wspierają biologię pacjenta. Ich powierzchnia działa jak biologiczny aktywator, stymulując odbudowę i zapobiegając zanikowi struktur podtrzymujących zęby.
- Bodźcowanie kości: Implanty z powierzchnią stymulującą regenerację i integrację z kością dzięki biokompatybilnym materiałom, takim jak tytan z powłoką hydroksyapatytową.
- Dynamiczna reakcja: Implanty, które przekazują mikrodrgania i obciążenia fizjologiczne do kości, zapobiegając ich zanikowi (funkcja biomechaniczna imitująca naturalne korzenie zębów).
- Materiały bioaktywne: Stosowanie materiałów, które wspierają regenerację i stymulację tkanek, przyspieszają integrację z dziąsłem, eliminując stan zapalny i poprawiając gojenie.
2. Wzorzec gryzienia oparty na własnych ruchach żuchwy i funkcjach mięśniowo-stawowych
Rekonstrukcja zsynchronizowana z ruchem żuchwy. Projektowana na podstawie cyfrowej analizy ruchów żuchwy, pracy mięśni i stawów. Dzięki temu zęby współpracują z układem ruchu, zapewniając komfort, ochronę stawów skroniowo-żuchwowych i naturalne rozłożenie sił żucia.
- Biomechaniczna symulacja: Wykorzystanie technologii analizy i odtwarzania naturalnych ruchów mięśni i stawów (Modjaw, aksjografia) w projektowaniu zgryzu oraz protez, które minimalizują napięcie mięśniowe i chronią stawy skroniowo-żuchwowe.
- Zaprojektowanie idealnego zgryzu: Symulacja cyfrowa pozwala na ustalenie optymalnego kontaktu między protezami a resztą zębów.
- Adaptacja mostów i protez: Rekonstrukcje, które „adaptują się" do ruchów pacjenta i automatycznie dostosowują swoją funkcję do engramów mięśniowych i fizjologicznych funkcji mięśni.
3. Hiperrealistyczne zęby dopasowane do twarzy
Ścisła kooperacja z Centrum Planowania DSD w Madrycie to wykorzystanie wiodących na świecie projektantów i specjalistów dla najbardziej naturalnych efektów. Robotyczna obróbka i materiały użyte do rekonstrukcji wiernie odwzorowują właściwości szkliwa, dzięki czemu efekt jest nie do odróżnienia od naturalnych zębów.
- Idealnie naturalne kształty: Selekcja indywidualnych kształtów i struktur zębów w oparciu o naturalną bibliotekę zębów, analizę twarzy pacjenta oraz naturalne proporcje estetyczne.
- Dostosowanie do mimiki: Rekonstrukcje bioniczne zsynchronizowane z mięśniami twarzy, co pozwala na naturalny wygląd podczas uśmiechu i mówienia.
- Personalizacja kolorystyczna: Zastosowanie zaawansowanych materiałów ceramicznych i cyrkonowych umożliwia idealne odwzorowanie naturalnego wyglądu szkliwa dla jak najbardziej naturalnego efektu.
- Bezbłędna robotyka: maszyny najnowszej generacji fizycznie odtwarzają zęby zaprojektowane przez designerów w chmurze.
4. Biointeligentna nawigacja chirurgiczna
Nawigowany optymalnie inwazyjny zabieg chirurgiczny. Planowanie implantacji odbywa się komputerowo na podstawie pełnej analizy biomedycznej: nie tylko kości, ale pełnej anatomii, napięć mięśniowych, kierunku sił i zakresu ruchu żuchwy. Zabieg przeprowadzany jest z użyciem nawigacji komputerowej oraz szablonów chirurgicznych, co pozwala na maksymalną precyzję zabiegu, ograniczenie urazu tkanek i nieporównywalnie przyspieszone gojenie.
- Precyzja cyfrowa: Wykorzystanie skanowania 3D i tomografii komputerowej i sztucznej inteligencji do pełnej wizualizacji struktur kostnych oraz określenie idealnej lokalizacji implantów z najwyższą precyzją.
- Optymalnie inwazyjny zabieg: Zastosowanie szablonów chirurgicznych i nawigacji cyfrowej pozwala na maksymalne ograniczenie traumatyzacji tkanek, skracając czas gojenia.
- Zabiegi nawigowane: Techniki mikrochirurgiczne wspomagane szablonami umożliwiają minimalizację ingerencji, co prowadzi do szybszego gojenia i mniejszego ryzyka powikłań.
5. Biomechaniczny szkielet dla stabilności i trwałości rekonstrukcji
Wewnętrzne wzmocnienie z tytanu pełni funkcję „kręgosłupa" konstrukcji – rozkłada siły żucia, zabezpiecza implanty przed przeciążeniem i stabilizuje całość. Struktura ta pracuje dynamicznie, dostosowując się do fizjologicznych warunków jamy ustnej, co wpływa na długowieczność i niezawodność całej rekonstrukcji.
- Belka SafeCore™: Biomechaniczne wzmocnienie pełni rolę rdzenia konstrukcyjnego, przenosząc siły żucia w sposób zbliżony do naturalnych łuków zębowych. Jej rola nie ogranicza się do mechanicznego połączenia implantów – stanowi ona aktywny element biomechaniczny.
- Stabilizacja dynamiczna: Dzięki sztywności tytanu i jego biozgodności, belka SafeCore stabilizuje całe rozwiązanie protetyczne, co chroni przed przeciążeniami, luzowaniem lub pękaniem uzupełnień, szczególnie w warunkach długotrwałego użytkowania i wysokiego obciążenia żucia.
- Wytrzymałość i trwałość: Konstrukcja SafeCore™ zapewnia przewidywalne, równomierne rozkładanie sił w czasie żucia, redukując mikronaprężenia i wydłużając trwałość rekonstrukcji – wspiera tym samym długofalową stabilność układu kostno-mięśniowego.
6. Cyfrowe mapowanie i dynamiczne planowanie leczenia
Cały proces – od diagnozy po finalną rekonstrukcję – opiera się na cyfrowych danych: skanach 3D, analizie zgryzu, modelowaniu funkcjonalnym. Oprogramowanie oparte o sztuczną inteligencję analizuje ruchy ust i automatycznie dostosowuje kształt zębów, aby zapewnić optymalny rezultat. Sztuczna inteligencja w dziedzinie medycyny i zdrowia to obecnie niezwykle cenna technologia, która potrafi usprawniać niektóre procesy, obniżając ich ryzyko i czas realizacji.
Dzięki temu możliwe jest stworzenie rzetelnego i przemyślanego planu leczenia, który może być wykorzystywany przez lekarzy w czasie rzeczywistym. Leczenie staje się elastyczne, dopasowane do indywidualnych potrzeb pacjenta.
- Ekstremalna precyzja: Gwarantuje idealne dopasowanie zębów, poprawiając zarówno estetykę, jak i funkcjonalność.
- Szybkość: Cyfrowe projektowanie przyspiesza proces, znacznie skracając czas oczekiwania.
- Kontrola jakości: Technologie cyfrowe zmniejszają ryzyko błędów ludzkich, zwiększając bezpieczeństwo i niezawodność leczenia.
- Zabezpieczenie na przyszłość: Dodatkowo kopia zapasowa Twoich zębów zostanie przechowana na naszych serwerach na całe życie.
7. Ciągłe doskonalenie i innowacje na przyszłość
Nieustannie dążymy do tego, by być na bieżąco z innowacjami i oferować pacjentom najlepsze możliwe rozwiązania. W Instytucie Badań i Rozwoju EndoEstetica poszukujemy technologii, które otwierają możliwości wykorzystania innowacyjnych rozwiązań takich jak neurostymulacja, czujniki biofeedbacku w protezach czy adaptacyjne materiały reagujące na zmiany w jamie ustnej.


Nowoczesna i przyspieszona metoda kompleksowej rehabilitacji uzębienia
Jak przebiega proces Time For Implants™ ?
Dokładne kroki, dzięki którym Time For Implants™ może dać
ci nowy uśmiech sprawnie i bez ryzyka:
Time For Implants™ obejmuje trzy kluczowe etapy: Faza planowania (Krok 1), chirurgiczna (Krok 2 i Krok 3) oraz rekonstrukcyjna (Krok 4)
Planowania KROK 1
nowego uśmiechu
Chirurgiczna KROK 2 i 3
Most przejściowy
Rekonstrukcyjna KROK 4
bioniczny na lata
Podczas pierwszego etapu projektowane są nowe zęby, które przymierzane są w formie prototypu jeszcze zanim zaczniemy leczenie.
Możesz zobaczyć jak będziesz wyglądać w nowym uśmiechu - żadnych niespodzianek!.
W trakcie fazy chirurgicznej przeprowadzane jest założenie implantów oraz mostu przejściowego, który już na tym etapie odzwierciedla docelowy projekt uśmiechu. Czyli w praktyce masz już nowy uśmiech!!
Następnie, po okresie gojenia implantów (nawet tylko 2 miesiące), rozpoczyna się faza rekonstrukcyjna, podczas której most tymczasowy zostaje zastąpiony trwałą i wysoce estetyczną rekonstrukcją bioniczną, która będzie Ci służyła na lata.
Poznaj szczegóły poniżej...

Krok 1: Digitalizacja, cyfrowe planowanie, produkcja szablonów i akcesoriów oraz projektowanie nowych zębów za pomocą sztucznej inteligencji
Digitalizujemy wszystkie informacje o Twoich ustach, które są następnie wysyłane do naszych zespołów projektowych w DSD Planning Center w Madrycie oraz Wielkopolskim Centrum SnapGuide.
W ciągu kilku dni projektujemy pożądane zęby, które są następnie testowane, aby sprawdzić adaptację i estetykę.
w WYKONANE W TECHNOLOGII SPIEKU LASEROWEGO i wydruku Polyjet.
Dzięki DSD i próbie prototypu pokażemy Ci będą wyglądać Twoja twarz i usta! W praktyce jest to możesz przymierzać swój nowy uśmiech jeszcze zanim zaczniemy leczenie, a nawet zanim podejmiesz decyzję!
i żeby byli jasne:
Sztuczna inteligencja, w dziedzinie medycyny i zdrowia, jest dziś bardzo cennym zasobem zdolnym do usprawnienia niektórych procesów, zmniejszenia kosztów i czasu.
Nie mówimy o chatach gpt lub podobnych, ale o najnowocześniejszych technologiach, które są w stanie robić dzisiaj rzeczy, które jeszcze 5 lat temu były niewyobrażalne.
Jest to bardzo potężne narzędzie, które pozwala uzyskać następujące korzyści:
- Ekstremalna precyzja: gwarantuje idealne dopasowanie zębów, poprawiając zarówno estetyczny wygląd, jak i funkcjonalność.
- Szybkość: Cyfrowy projekt przyspiesza proces, znacznie skracając czas oczekiwania oraz ilość wizyt.
- Hiperrealistyczne zęby: każdy zestaw zębów jest repliką prawdziwych zębów, są one dostosowane do specyfiki twarzy pacjenta, zapewniając maksymalny komfort i naturalność.
- Bezpieczeństwo: Technologie te zmniejszają ryzyko błędu ludzkiego, zwiększając bezpieczeństwo i niezawodność leczenia.
- Nie mówimy o chatach gpt lub podobnych, ale o najnowocześniejszych technologiach.
WIĘC MOŻESZ BYĆ PEWIEN, ŻE JESTEŚ W BARDZO DOBRYCH RĘKACH.


Krok 2: Usunięcie zębów nie nadających się do zachowania i precyzyjne pozycjonowanie implantów za pomocą matryc nawigacyjnych
Jeśli masz uszkodzone zęby lub implanty z powodu zapalenia przyzębia, zużycia lub stare, albo źle wykonane protezy, usuwamy je.
Ponadto, w tej samej procedurze, nasi chirurdzy jamy ustnej osadzą tytanowe implanty dentystyczne w górnym lub dolnym łuku bez zębów za pomocą hiperprecyzyjnych matryc nawigacyjnych. Nawigacja to nie tylko precyzja i bezpieczeństwo – Pacjent odczuwa mniej dolegliwości w trakcie i po wykonaniu zabiegu.
A jeśli w przeszłości usłyszałeś, że brakuje ci kości i nie możesz założyć implantów…
Nie ma problemu. I tak możemy je wstawić.
W szczególnie złożonych sytuacjach prowadzimy zoptymalizowane zabiegi regeneracji kości…


Krok 3: Założenie stałych zębów przejściowych w naturalnych kształtach od razu po zabiegu – nie wychodzisz bez zębów!
Po zakończeniu zabiegu, jeszcze zanim opuścisz klinikę, w ciągu kilku minut przymocujemy do Twoich implantów zęby z cechami hiperrealizmu, które są wierną kopią projektu, który zobaczyłeś i zaakceptowałeś. To tzw. SmileBridge… Nowy uśmiech jest dopasowany do Twojej twarzy i charakteru i otrzymujesz go tuż po zabiegu!
To oznacza, że nigdy nie wychodzisz bez zębów z kliniki i możesz się cieszyć nowym wymiarem życia od razu.
Aby czuć się maksymalnie bezpiecznie to po 2 tygodniach otrzymujesz przejściowy wzmacniany belką SafeCore™, który jeszcze lepiej zabezpiecza implanty w trakcie okresu gojenia. Jego konstrukcja powoduje też, że jest dużo wygodniejszy i trwalszy i nie pęknie w trakcie użytkowania, więc możesz go używać nawet do roku czasu! i jest rekomendowany przez nasz zespół ekspertów.


Krok 4: Produkcja i tworzenie kopii zapasowych nowych zębów
Po zagojeniu się implantów (co może trwać od 2 do 6 miesięcy, w zależności od jakości Twojej kości) nowe zęby są produkowane z cechami hiperrealizmu i przymocowane do implantów dentystycznych.
W naszych centralach i laboratoriach partnerskich używamy Sztucznej inteligencji do tworzenia zębów, które doskonale integrują się z estetyką twarzy i życiem, oraz szkieletem SafeCore™ i konstrukcji bionicznych z ekstremalną precyzją zapewniając bezpieczeństwo i trwałość na lata.
Ponad 20 maszyn najnowszej generacji fizycznie odwarzają zęby, które projektanci DSD projektują w chmurze.
Nieustannie zobowiązujemy się do nadążania za innowacjami, aby oferować pacjentom najlepsze możliwe rozwiązania.
„Nasze oprogramowanie w rzeczywistości analizuje ruchy ust i automatycznie dostosowuje kształt zębów, aby uzyskać optymalny wynik."
Ponadto kopia zapasowa Twoich zębów będzie dostępna na naszych serwerach na całe życie. Oznacza to, że w razie potrzeby, dzięki danym, które zapisaliśmy w archiwum, możesz łatwo wymienić, zmodyfikować lub ponownie wydrukować swoje nowe zęby w dogodnym dla siebie czasie.

Czujesz, że to może być coś dla Ciebie?
Zarezerwuj spotkaniez Doradcą Terapii
Opcje dla bezzębia
Jakie są alternatywy dla Time For Implants™
Metoda Time For Implants™ (TFI) to zaawansowane i wszechstronne rozwiązanie oparte o mosty bioniczne, ale na rynku istnieją również inne metody odbudowy uzębienia na implantach. Każda z nich ma swoje specyficzne zastosowania, zalety i ograniczenia. Wybór odpowiedniej metody zależy od indywidualnych potrzeb pacjenta, stanu zdrowia jamy ustnej oraz oczekiwań co do trwałości i komfortu. Poniżej przedstawiamy najważniejsze alternatywy.
Klasyczne All-on-4® i All-on-6®
Obie metody polegają na odbudowie pełnego łuku zębowego na 4 lub 6 implantach, zapewniając stabilność i funkcjonalność. All-on-4® to bardziej ekonomiczne rozwiązanie, wymagające mniejszej liczby implantów, natomiast All-on-6® oferuje lepsze rozłożenie obciążeń i większą trwałość. W porównaniu z TFI metody te mogą mieć mniej precyzyjne planowanie i dłuższy czas leczenia, a prace tymczasowe nie zawsze są dostępne od razu.
Leczenie etapowe z większą liczbą implantów (8–10)
Rozwiązanie zapewniające maksymalną stabilność i równomierne rozłożenie obciążeń dzięki większej liczbie implantów. Często wymaga dodatkowych zabiegów regeneracyjnych, takich jak przeszczepy kości czy podniesienie dna zatoki szczękowej, aby zapewnić odpowiednie podparcie dla implantów. Jest to metoda dla pacjentów oczekujących najwyższej trwałości, ale wymaga dłuższego czasu leczenia i jest bardziej kosztowna w porównaniu z TFI.
Implanty zygomatyczne
Implanty mocowane w kości jarzmowej są rozwiązaniem dla pacjentów z poważnym zanikiem kości w szczęce, gdzie tradycyjne implanty nie są możliwe do zastosowania. Zabieg jest bardziej inwazyjny i wymaga specjalistycznej wiedzy chirurga, ale pozwala uniknąć przeszczepów kości. Jest to szybka metoda przywracająca pełną funkcjonalność, choć okres rekonwalescencji może być dużo dłuższy, a koszty znacznie wyższe niż TFI.
Implanty podokostnowe
W tej metodzie stosuje się metalową konstrukcję umieszczaną na powierzchni kości pod dziąsłem, co czyni ją odpowiednią dla pacjentów z ekstremalnym zanikiem kości. Implanty podokostnowe są bardziej skomplikowane w wykonaniu i wymagają precyzyjnego planowania. To wysokobudżetowe rozwiązanie ostatniej szansy, które może być jedyną opcją dla pacjentów z ograniczeniami anatomicznymi.
Protezy ruchome wsparte na implantach (typu Locator)
Ten rodzaj protez mocowany jest na 2–4 implantach za pomocą specjalnych zaczepów Locator, co zapewnia większą stabilność i komfort niż tradycyjne protezy ruchome. Pacjent zyskuje możliwość łatwego demontażu protezy, co ułatwia codzienną higienę. To rozwiązanie łączy przystępność cenową z funkcjonalnością implantów, choć stabilność jest nieco mniejsza niż w przypadku stałych mostów na implantach.
Protezy ruchome
Protezy ruchome to najprostsze i najtańsze rozwiązanie dla pacjentów bezzębnych. Choć są łatwe do wykonania i przystępne cenowo, często powodują dyskomfort podczas jedzenia i mówienia, a ich użytkowanie przyspiesza zanik kości. Nie są to rozwiązania trwałe ani stabilne, ale mogą być stosowane jako tymczasowe uzupełnienie.

Trzecie Zęby DSD Time For Implants
A jeśli nadal masz wątpliwości, oto kilka opinii od tych, którzy już wyruszyli w tę niezapomnianą podróż:
Mam wreszcie wolność jedzenia ulubionych potraw bez dalszego cierpienia.
„Nie wiedziałam, jak bardzo tęskniłam za prostą radością jedzenia… aż znowu mogłam wziąć pierwszy, prawdziwy kęs bez bólu. Te implanty to coś więcej niż tylko technologia — to poczucie odzyskanej godności. Działają jak moje własne zęby, jem, uśmiecham się i czuję, że moje ciało wreszcie jest kompletne."
Pacjentka Programu Rewitalizacji 2024
Niewygodna zużyta praca protetyczna



Uśmiecham się ponownie zębami, bez żadnego dyskomfortu lub zakłopotania wśród ludzi.
„Człowiek nie zdaje sobie sprawy, jak bardzo brakuje mu uśmiechu, dopóki nie przestaje się go wstydzić. Teraz mogę patrzeć ludziom w oczy i uśmiechać się bez obaw. To nie tylko zęby – to odzyskana pewność siebie."
Pacjent Programu Rewitalizacji 2023



Od braku pewności siebie, której zbyt długo brakowało, do stawiania czoła codzienności w zupełnie innym duchu
„Estetycznie od razu mi się podobała, mam nową energię do życia. A samo leczenie? Myślam, że to będzie ogromne wyzwanie, ale cały proces okazał się dużo prostszy i spokojniejszy, niż się spodziewałam."
Pacjentka Programu Rewitalizacji 2022



Z biegiem lat zęby tracą swoją wytrzymałość, a ich funkcjonalność zaczyna słabnąć.
Zamiast cieszyć się pełnią życia, musisz stawiać czoła wyzwaniom, które ograniczają Twoją codzienność.
Może znasz to uczucie – unikanie twardszych pokarmów, wybieranie miękkich potraw, które łatwiej przeżuć, ciągłe monitorowanie uśmiechu podczas rozmów czy spotkań, by ukryć ubytki.
Być może odczuwasz także bóle zębów i stawów szczękowych lub zmagasz się z resztkami jedzenia, które gromadzą się w trudno dostępnych miejscach. Nietrudno sobie wyobrazić, że takie sytuacje stopniowo wpływają na komfort życia, odbierając radość z prostych czynności, jak jedzenie czy śmianie się.
A co, gdyby istniała możliwość przywrócenia – albo nawet odkrycia po raz pierwszy – prawdziwej radości z posiadania pełnych, funkcjonalnych zębów? Dla osób z mocno uszkodzonymi i niefunkcjonalnymi zębami leczenie ich często nie przynosi już długotrwałych efektów.
W wielu przypadkach to jedynie chwilowe łagodzenie problemów, które kończy się na coraz częstszych wizytach u dentysty. Dlatego dla wielu osób najskuteczniejszym i najbardziej długoterminowym rozwiązaniem okazują się implanty z koronami z Certyfikatem Naturalności, które doskonale imitują naturalne zęby.
Kompleksowy Program Rewitalizacji, taki jak terapia „Trzecie Zęby – Time for Implants™" z mostami bionicznymi, pozwala odbudować cały łuk zębowy.
Implanty oferują stabilność i wygodę, która dorównuje naturalnym zębom, a jednocześnie przywracają pewność siebie i swobodę w codziennych czynnościach.
To rozwiązanie, które nie tylko pozwala odzyskać funkcję żucia i wygodę mówienia, ale też cieszyć się uśmiechem, który wygląda i zachowuje się jak prawdziwy – bez kompromisów i ograniczeń.
Decyzja o kompleksowym rozwiązaniu, jakim są mosty bioniczne w protokole Time For Implants™, to inwestycja nie tylko w zdrowie, ale przede wszystkim w jakość życia. To krok w stronę codzienności bez ograniczeń – pełne posiłki, uśmiechy bez wahania, i pewność siebie, której nic nie odbierze. Dzięki implantom możesz wrócić do czerpania radości z prostych przyjemności i spotkań z bliskimi, a każdy dzień staje się wolny od myśli o dysfunkcyjnych zębach i uciążliwych wizytach u dentysty.
Zamiast mierzyć się z kolejnymi kompromisami, wybierz rozwiązanie, które daje trwałe efekty i pozwala w pełni korzystać z życia.
Dzięki terapii „Trzecie Zęby – Time for Implants™" możesz odzyskać to, co najważniejsze: pełen komfort, naturalność i radość z każdego uśmiechu, na długie lata.
zapraszam
dr n. med. Bartosz Cerkaski
Lider Zespołu EndoEstetica Clinic
Twórca protokołu Time For Implants™

© EndoEstetica Clinic, 2026. Wszelkie prawa zastrzeżone.
Time For Implants™ (TFI) to innowacyjna metoda odbudowy uzębienia, oferowana wyłącznie w EndoEstetica Clinic. Wszystkie zabiegi wykonywane są przez wykwalifikowanych specjalistów z wykorzystaniem zaawansowanych technologii, takich jak szablony ClicGuide™ oraz projektowanie uśmiechu Digital Smile Design (DSD).
Zdjęcia i wizualizacje zamieszczone na stronie lub w materiałach informacyjnych mają charakter poglądowy i mogą nie odzwierciedlać rzeczywistego efektu leczenia.
Prosimy pamiętać, że każda terapia jest indywidualnie planowana i może wymagać dodatkowych zabiegów, zależnie od stanu jamy ustnej pacjenta. W przypadku jakichkolwiek pytań lub wątpliwości zapraszamy do kontaktu – chętnie udzielimy wszelkich informacji oraz wyjaśnimy szczegółowy plan leczenia.
Time For Implants™, logotyp TFI oraz wszystkie inne znaki towarowe, o ile nie stwierdzono inaczej, są znakami towarowymi należącymi do EndoEstetica Clinic.

Spotkanie na żywo w klinice ze skanowaniem 3D zębów
Spotkanie on-line (BEZ OPŁAT)